1. トップ
  2. ライフスタイル
  3. 宇宙初X線撮影の実機が国内初公開! ポータブルX線装置の専業メーカー「国際医用画像総合展」

宇宙初X線撮影の実機が国内初公開! ポータブルX線装置の専業メーカー「国際医用画像総合展」

  • 2026.4.4

記事ポイント

  • 宇宙で世界初のX線撮影を達成した実機がITEM 2026で国内初公開
  • SpaceX「クルードラゴン」搭乗の歴史的装置を4月17日〜19日限定展示
  • 創業100年超・世界90カ国納入実績のポータブルX線装置メーカーが技術の全貌を公開

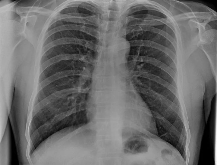
宇宙空間で世界初のX線撮影を達成したポータブルX線装置の実機が、2026年4月17日からパシフィコ横浜で開催される「国際医用画像総合展(ITEM 2026)」にて国内初公開されます。

出展するのは、創業100年超・世界90カ国に累計50,000台超を納入してきたポータブルX線装置の専業メーカー、ミカサエックスレイです。

ポータブルX線装置の専業メーカー「国際医用画像総合展」

ミカサエックスレイ ITEM 2026 出展
  • 展示会名:国際医用画像総合展(ITEM 2026)
  • 会期:2026年4月17日(金)〜4月19日(日)
  • 会場:パシフィコ横浜
  • ブース番号:C4-09

今回の展示の最大の目玉は、2025年4月にSpaceX社の民間宇宙船「クルードラゴン」に搭載され、宇宙空間における世界初のX線撮影を達成したポータブルX線装置の実機です。

この歴史的な装置は米国から特別に借用し、ITEM 2026の会期中のみ国内で初めて公開されます。

SpaceX

実機には「SPACEX FLOWN」のシールが貼られており、宇宙へ行った証を直接確認できます。

会場では実際の宇宙撮影画像をはじめとする関連資料も展示され、医療機器の歴史に刻まれた一瞬を体感できます。

主力モデル「TRB 9020H」と100年の歩み

ミカサエックスレイ 主力モデル TRB 9020H

展示ブースでは、小型・軽量でありながら高画質と高耐久性を両立した最新モデル「TRB 9020H」の実機も展示され、実際に手に取って操作感・携行性を確認できます。

1946年の販売開始以来、世界90カ国・累計50,000台超の納入実績を誇る同社の歴史も、「過去・現在・未来」を軸に時系列で体系的に紹介されます。

TRB 9020Hで

最大1.3kWの高出力と最新のノイズ低減技術を融合させた高精細な画像描写は、診断精度の向上に直結する技術力の証です。

TRB 9020Hで

2001年にWHO主導で設立された「Stop TB Partnership」へは毎年約800台を継続納入しており、世界の医療インフラを支える存在としての実績も会場で確認できます。

ブース内では担当者による説明・プレゼンテーションも随時実施され、製品仕様・臨床応用・導入事例などの専門的な質問にも個別に対応しています。

宇宙という極限環境で証明された堅牢性と信頼性は、災害現場や過疎地域など地球上のあらゆる医療現場にも活かされています。

創業100年超の技術と実績を持つミカサエックスレイのポータブルX線装置は、4月17日から19日の会期中のみ、その歴史的な実機を間近で見られる唯一の機会です。

宇宙撮影画像や最新モデルの展示など、医療機器の最前線を一度に体感できる内容が揃っています。

ミカサエックスレイ「国際医用画像総合展(ITEM 2026)」出展の紹介でした。

よくある質問

Q. ITEM 2026でミカサエックスレイが展示する宇宙X線装置とは何ですか?

A. 2025年4月にSpaceX社の民間宇宙船「クルードラゴン」に搭載され、宇宙空間で世界初のX線撮影を達成したポータブルX線装置の実機です。米国から特別に借用し、ITEM 2026の会期中のみ国内で初公開されます。

Q. ITEM 2026のミカサエックスレイブースはいつ・どこで見られますか?

A. 2026年4月17日(金)から19日(日)まで、パシフィコ横浜のブース番号C4-09にて展示されています。

元記事で読む
の記事をもっとみる