1. トップ
  2. 恋愛
  3. パーキンソン病は脳ではなく、実は腎臓が原因の病気かもしれない

パーキンソン病は脳ではなく、実は腎臓が原因の病気かもしれない

  • 2025.6.29
Credit:canva

手が震える、動きが鈍くなる、転びやすくなる。そんな症状があらわれる病気として知られるのがパーキンソン病です。

多くの人がこの病気を「脳の病気」として理解してきました。実際、これまでは脳の中にあるドーパミンを作る神経細胞が減ることが原因とされ、脳の変性に注目が集まってきました。

しかし、最新の研究は、この常識にゆさぶりをかけるものです。

中国・武漢大学人民医院(Renmin Hospital of Wuhan University, Wuhan, China)を中心とする国際研究チームは、腎臓が血液中の異常なたんぱく質の排出に関与しており、それが処理されずに神経を通じて脳に伝わる可能性を発見しました。

この研究の詳細は、2025年1月23日付けで科学雑誌『Nature Neuroscience』に掲載されています。

目次

  • 脳の病気に「腎臓」が関係するという意外性
  • 腎臓から始まる!?パーキンソン病の意外な発症ルート

脳の病気に「腎臓」が関係するという意外性

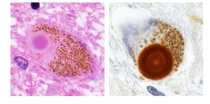
パーキンソン病では、脳内に「α-シヌクレイン(alpha-synuclein)」というたんぱく質が異常にたまることが知られています。

このたんぱく質が固まってできたものが「レビー小体(Lewy bodies)」と呼ばれ、神経細胞を傷つけることでさまざまな症状を引き起こすと考えられています。

パーキンソン病中脳黒質神経細胞にみられるレビー小体/Credit:脳科学辞典

従来、α-シヌクレインは「脳の中」で発生するか、「腸から迷走神経を通って脳に届く」とされる説が主流でした。

しかし近年、腎機能が低下した高齢者にパーキンソン病が多いという傾向が疫学的に指摘されてきました。

そこで研究チームは、腎臓とα-シヌクレインの関係を詳しく調べることにしました。

彼らはまず、亡くなった人の腎臓組織を調べ、パーキンソン病またはレビー小体型認知症と診断されていた11人中10人の腎臓に、異常なα-シヌクレインの集積があることを発見しました。

また、慢性腎不全の患者でも高頻度にこのたんぱく質の蓄積が見つかったのです。

そこで、マウスを使った実験を行ったところ、腎機能が正常な場合は血液中のα-シヌクレインが腎臓で処理されるのに対し、腎機能が低下していると血液中に残ったままになり、それが腎臓を通じる神経経路(腎神経)を介して、脊髄や延髄などの中枢神経にまで到達する可能性があることがわかりました。

さらに研究チームは、腎臓の神経(腎神経)を切断すると、脳へのα-シヌクレインの拡散が防げることも確認したのです。

腎臓から始まる!?パーキンソン病の意外な発症ルート

この結果から、腎臓が単なる「老廃物をろ過する器官」ではなく、パーキンソン病において重要な役割を果たしている可能性が浮かび上がってきました。

つまり、腎臓が正常に働かないと、血液中に異常なたんぱく質がたまり、それが神経を通じて脳にたどり着いてしまう。その過程で、脳内に神経細胞を破壊する原因物質が蓄積され、病気が進行するというシナリオです。

実際に、マウス実験では腎機能の低下が、ドーパミンを作る神経細胞の減少と運動機能の障害につながることも示されました。

また、骨髄移植によって血液中のα-シヌクレインの量を減らすと、パーキンソン病のような症状が和らぐことも確認されています。

Credit:ナゾロジー編集部,OpenAI

これらの結果は、「パーキンソン病はどうして起きるのか?」という根本的な問いに、新しい道しるべを与えてくれます。

腎機能を維持することで、脳の病気の発症リスクを下げられる可能性も示唆されています。

このことは、脳の健康を守るカギが、実はもっと身近な臓器にあるかもしれない、という新しい視点を示しています。

なぜなら、腎臓は高血圧や糖尿病など、身近な生活習慣病と深く関わっており、その管理は日常的にできるからです。

今回の研究は、パーキンソン病が脳だけでなく全身の健康状態、特に腎臓の健康と密接に関係している可能性を示した点で、非常に画期的です。

脳と体はつながっている

「脳の病気は脳だけを見ていればいい」という時代は、終わりを迎えつつあります。

腎臓という一見関係なさそうな臓器が、脳神経の病気に関わっているかもしれないという発見は、私たちの体の仕組みの複雑さと深いつながりをあらためて教えてくれます。

日々の生活習慣、腎臓のケア、血圧や血糖の管理が、将来の神経疾患の予防にもつながるかもしれない。

では、腎臓をいたわるために私たちができることとは何でしょうか?

まず、塩分の多い食事や過剰な飲酒を控えること。こうした習慣は腎臓のろ過機能に負担をかけます。次に、血圧や血糖値を適正に保つこと。高血圧や糖尿病は、腎臓の血管をじわじわと傷つけていきます。また、日常的な運動や十分な水分補給も、腎臓の働きを助けてくれます。

さらに、市販の鎮痛薬を長期間使い続けることも腎臓にとってはリスクとなるため、安易な服用は避けたほうがいいかもしれません。

体の奥で静かに働く腎臓が、実は脳の病気を左右する可能性がある──。

この研究は、そんな目からウロコのようなつながりに気づかせてくれるのです。

参考文献

Scientists uncover kidney-to-brain route for Parkinson’s-related protein spread

Scientists uncover kidney-to-brain route for Parkinson’s-related protein spread
https://www.psypost.org/scientists-uncover-kidney-to-brain-route-for-parkinsons-related-protein-spread/

元論文

Propagation of pathologic α-synuclein from kidney to brain may contribute to Parkinson’s disease
https://doi.org/10.1038/s41593-024-01866-2

ライター

相川 葵: 工学出身のライター。歴史やSF作品と絡めた科学の話が好き。イメージしやすい科学の解説をしていくことを目指す。

編集者

ナゾロジー 編集部

元記事で読む
の記事をもっとみる