1. トップ
  2. レシピ
  3. 「粘土が食べたい…」 稀な依存症「ジオファジア」に陥った女性

「粘土が食べたい…」 稀な依存症「ジオファジア」に陥った女性

  • 2025.8.19
Credit: canva

「粘土が食べたくてたまらない…」

そんな奇妙な欲求にとらわれ、ついには健康を脅かす事態に陥った女性の症例が報告されました。

論文を発表したのは米ジョンズ・ホプキンス大学(JHU)の研究チームです。

女性は粘土を食べる文化的な習慣を持っていましたが、摂取量が急激に増え、体に深刻なダメージを与えるまでになってしまったとのこと。

この症例は、土や粘土を食べる「ジオファジア(土食症)」と呼ばれる行為が、文化的な慣習から病的な依存症へと変わり得ることを示しています。

研究の詳細は2025年8月5日付で医学雑誌『Annals of Internal Medicine: Clinical Cases』に掲載されました。

目次

  • 文化的習慣が「止められない渇望」に変わる
  • 粘土が引き起こした体の異変

文化的習慣が「止められない渇望」に変わる

人間が食べ物以外のものを口にする行為は「異食症」と呼ばれています。

その中でも土や粘土を食べる習慣は「ジオファジア」として知られ、世界のさまざまな地域で観察されています。

とくに妊娠中の女性や鉄欠乏性貧血の人々が粘土を口にすることが多いとされ、吐き気を和らげる、ミネラルを補うといった民間の伝統的な信念と結びついている場合もあります。

今回報告されたアメリカ在住の36歳の女性も、地域社会に根づいたこの習慣に親しんでいました。

しかし、ある時期から粘土への欲求が抑えられなくなり、摂取量が以前に比べて大幅に膨れ上がったのです。

もはや単なる文化的行動ではなく、生活に支障をきたすレベルの強迫的な行為となっていました。

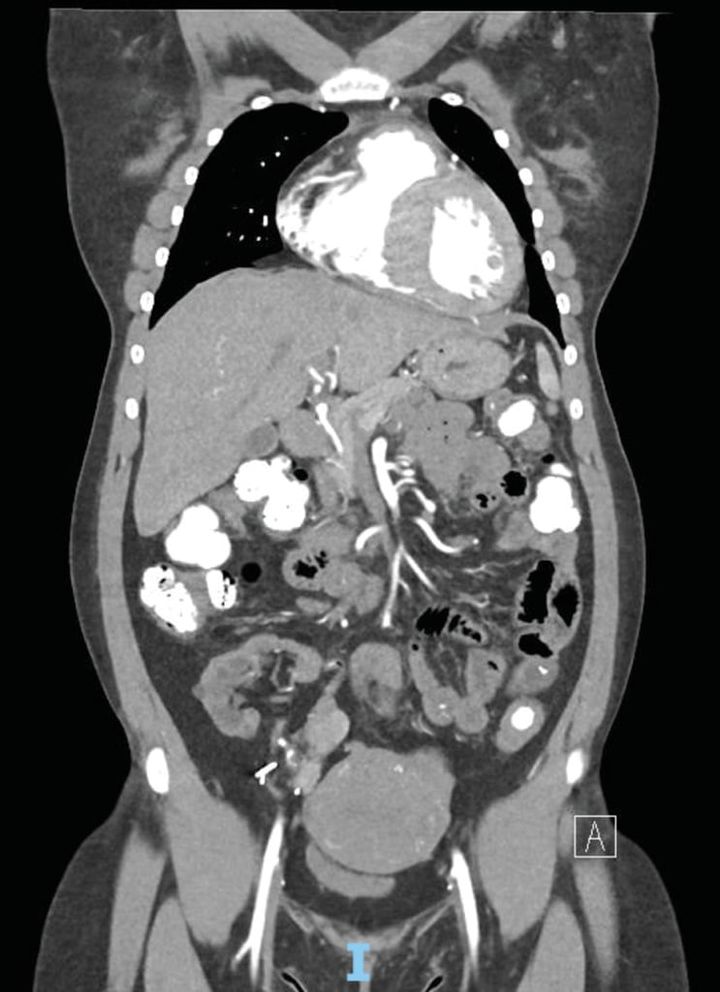
女性患者のCT画像、大腸が摂取した粘土(白)で膨れ上がっていた/ Credit: Archit V. Potharazu et al., Annals of Internal Medicine: Clinical Cases(2025)

女性は腎不全のため在宅血液透析を行っており、さらに鉄欠乏性貧血も抱えていました。

鉄不足は異食症を悪化させる要因として知られており、彼女の粘土摂取増加もその影響を受けていた可能性があります。

こうして「少しなら害がない」と考えられていた行為が、いつしか「止められない渇望」となり、心身をむしばむ危険な依存症の様相を帯びていったのです。

粘土が引き起こした体の異変

女性が摂取していたのは、ガーナ産のベントナイト粘土でした。

この粘土にはアルミニウムやシリカといった成分が豊富に含まれています。

一見すると無害に思えるかもしれませんが、これらの成分は体内で重要なミネラルに結合し、電解質のバランスを崩してしまいます。

実際に彼女の検査結果では、カリウムやカルシウムの値が異常に低くなっていました。

カリウム不足は筋肉のけいれんや不整脈を引き起こす可能性があり、カルシウム不足も骨や神経に悪影響を及ぼします。

また、アルミニウムの血中濃度も通常の2倍以上に達しており、体内に有害物質が蓄積していたことがわかりました。

さらに便秘や消化管出血も併発していました。

検査用のCT画像では、大腸全体に高密度の物質が映し出され、粘土の影響で出血源を見つけるのも困難だったといいます。

内視鏡検査の結果、出血は便秘による粘膜への刺激が原因とされました。

医師らは、彼女の症状が粘土の摂取に起因する「電解質異常」と判断。

摂取をやめるよう指導し、鉄剤の投与などを行いました。

興味深いのは、この症例が「依存症」に非常によく似た特徴を示していた点です。

本人は「強い渇望」「耐性」「身体的悪影響にもかかわらず続けてしまう」といった、まさに薬物依存症で見られるような行動を示していました。

女性は精神科的なカウンセリングも勧められ、粘土の摂取を中止したことで症状が改善し、血液中の電解質も安定しました。

現在は外来で経過観察を続けています。

参考文献

A woman’s craving for clay got so intense it mimicked signs of addiction
https://www.psypost.org/a-womans-craving-for-clay-got-so-intense-it-mimicked-signs-of-addiction/

元論文

A Patient Presenting With Hematochezia Found to Have Geophagia-Induced Electrolyte Derangements
https://doi.org/10.7326/aimcc.2025.0079

ライター

千野 真吾: 生物学に興味のあるWebライター。普段は読書をするのが趣味で、休みの日には野鳥や動物の写真を撮っています。

編集者

ナゾロジー 編集部

元記事で読む
の記事をもっとみる