【システムメンテナンスのお知らせ】1/14(水) 2:00〜4:00 TRILLサイトをご利用いただけなくなります

  1. トップ
  2. 結局、『親知らず』は抜くべき?抜かなくてもいい?→医師が教える、知っておくべき“判断ポイント”とは?【歯科医が監修】

結局、『親知らず』は抜くべき?抜かなくてもいい?→医師が教える、知っておくべき“判断ポイント”とは?【歯科医が監修】

  • 2025.5.22
undefined
出典:photoAC(※画像はイメージです)

奥歯の奥にひっそりと潜む親知らず。生えてくるだけで痛い、なんて噂を聞いたことありませんか? 実際、親知らずのことで悩んでいる人はたくさんいます。抜くべきか、様子を見るべきか…その判断は本当に難しいですよね。

この記事では、専門医の知見を元に、親知らずの抜歯に関する判断基準を分かりやすく解説します!

親知らずの抜歯、本当に必要?まずは現状把握から!

親知らずは、正式には「第三大臼歯」という名前で、智歯(ちし)とも呼ばれています。通常10代後半から20代にかけて生えてきて、親に知られることなく生えてくる歯であることからその名がついたと言われています。

しかし、全員が生えてくるわけではなく、完全に埋まっている場合や、部分的にしか生えてこない場合もあります。抜歯の必要性を判断する上で、まず重要なのは親知らずの「状態」です。

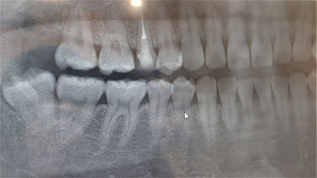
レントゲン写真で、親知らずの生え方(萌出状態)、歯根の状態、周囲の組織との関係などを確認します。レントゲンを見てみると、完全に埋まっている・歯茎に埋まっている部分だけ炎症を起こしている・隣の歯を押しているなど、さまざまなケースがあります。

これらの状態を正確に把握することが、抜歯の必要性を判断する第一歩です。

親知らずを抜かないとどんな問題があるの?

undefined
出典:photoAC(※画像はイメージです)

親知らずが問題を引き起こすケースはさまざま。

例えば、親知らずは、歯磨きがしにくい場合が多く、歯垢が溜まりやすく、歯周病や虫歯の原因となることがあります。

さらに、生え方が悪いと、隣の歯を圧迫して、歯並びの乱れや痛みを引き起こす可能性も。

専門医が語る、抜歯判断のポイント!あなたはどのタイプ?

親知らずの抜歯は、必ずしも必要なものではありません。しかし、将来的なリスクを考えると、予防的な抜歯を選択するケースも多いです。前述の通り、部分的に生えている親知らずは、歯磨きが困難で、炎症を起こしやすい状態になりやすいため、抜歯が推奨されるでしょう。

また、完全に見えない状態の親知らずも歯茎の下で虫歯や歯周病になっていたり、将来的になるかの可能性が高い事もあるため、レントゲンで位置を確認し前述の様な状態の場合は抜歯が推奨されます。

一方、綺麗に生えていて、問題なく歯磨きができる、隣の歯に影響を与えていない親知らずであれば、抜歯は必要ないかもしれません。

また、レントゲン写真だけでなく、口腔内の状態、痛みや腫れなどの症状、そして年齢や全身状態も考慮され、抜歯の判断をします。

専門医は、これらの点を総合的に判断し、患者さんと相談しながら最善の治療法を選択します。重要なのは、自分の親知らずの状態をきちんと理解し、専門医とよく話し合って決断することです。

親知らずの悩み、1人で抱え込まないで!

親知らずの抜歯は、簡単な決断ではありません。

痛みや腫れ、費用、そして抜歯後の回復期間など、様々な要素を考慮する必要があります。 しかし、紹介したように、親知らずが将来的なリスクを伴う可能性も十分に考えられます。

もし、親知らずについて悩んでいるのであれば、まずは歯科医院を受診し、レントゲン撮影などを行い、自分の親知らずの状態を正確に把握することが大切です。専門医と相談しながら、最適な選択をしましょう。


越智 英行(おち・ひでゆき)
医師(歯科・日本口腔外科学会 認定医・日本外傷歯学学会 認定医)

undefined

昭和大学歯学部卒業。東京女子医科大学病院(歯科口腔外科)入局後、昭和大学大学院歯学研究科(臨床系歯科麻酔科学)修了。同大学歯学部全身管理歯科学歯科麻酔科助教を経て、コンパスメディカルグループ「医療法人社団コンパス」の常務理事に就任。現在はコンパス内科歯科クリニック赤羽(https://www.compass-dc.jp/akabane/)の院長も兼任。患者さんのQOL向上に寄与し、患者さんが笑顔になれる様な治療を心がける。歯学博士。日本口腔外科学会認定医、日本外傷歯学会認定医。