1. トップ
  2. 恋愛
  3. 【長時間労働が脳構造を変える!?】週52時間以上で感情制御の領域に顕著な変化が

【長時間労働が脳構造を変える!?】週52時間以上で感情制御の領域に顕著な変化が

  • 2025.5.18
Credit:Canva

毎日長時間働いていると、「最近、物忘れが増えた気がする」「感情が不安定になった」などと感じたことはありませんか?

これは単なる気のせいではないかもしれません。

実際に、過労が心臓病や糖尿病、うつ病(depression)との関連が指摘されています。

しかし、脳そのものの構造が変化するという証拠はこれまでほとんどありませんでした。

そんな中、韓国の延世大学(Yonsei University)と中央大学(Chung-Ang University)、釜山大学(Pusan National University)の共同研究チームが驚きの結果を発表しました。

この研究は、2025年5月にイギリスの学術誌『Occupational and Environmental Medicine』に掲載されています。

目次

  • 働きすぎで頭がおかしくなる」は本当?
  • 過労で脳が大きく?研究チームの意外な発見

働きすぎで頭がおかしくなる」は本当?

世界的に問題となっている長時間労働は、心と体の健康を脅かすことがわかっています。

国際労働機関(International Labour Organization, ILO)によると、毎年80万人以上が長時間労働による健康被害で亡くなっているとされています。

しかし過労によって脳自体が変化するのか、という疑問についてはこれまで謎のままでした。

研究チームはこの疑問を解決するため、医療従事者110人を対象に調査を行いました。

対象者は過労群(1週間に52時間以上働く人、32名)と通常労働群(52時間未満の人、78名)に分けられました。

この基準は、韓国の労働基準法における法定上限時間にもとづいています。

脳の検査には磁気共鳴画像法(MRI:Magnetic Resonance Imaging)が使われました。

MRIは、体の内部を細かく画像化する技術です。

特にこの研究ではボクセル単位形態計測法(voxel-based morphometry, VBM)とアトラスベース解析(atlas-based analysis)という高度な分析法が用いられました。

これにより、脳のどの部分の体積がどのように変わっているかを、この研究では高精度で測定したのです。

研究では年齢や性別、脳全体の大きさなどの影響を取り除き、純粋に労働時間と脳の関係を調べています。

そして、その結果は驚くべきものでした。

過労で脳が大きく?研究チームの意外な発見

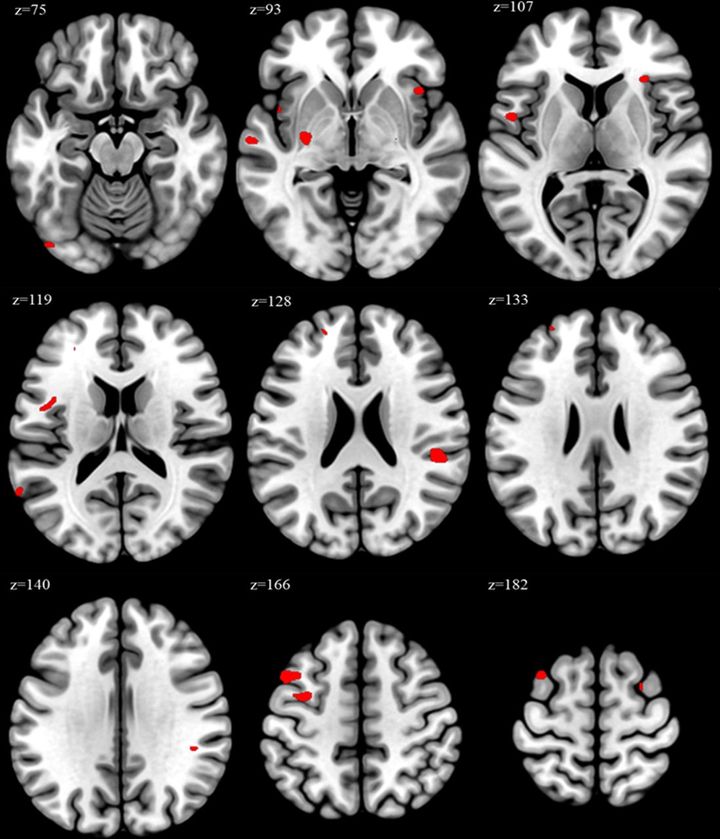
過労群の人では、通常労働群の人に比べて脳の一部の領域が大きくなっていました

具体的には、左中前頭回(left middle frontal gyrus)や島皮質(insula)などで、これは実行機能(executive function)や感情制御(emotional regulation)、ストレスへの反応に関わる領域です。

実行機能とは、計画を立てたり、問題を解決したり、行動をコントロールしたりする能力のことです。

さらに、週の労働時間が長い人ほどこれらの領域の体積が大きいという相関もみられました。

VBM:ボクセルベース形態測定法で過労群と通常労働群の脳体積の違いが統計的に有意だった部位を示す脳画像マップ。赤いポイントが有意に体積が大きかった領域。/Credit:Wonpil Jang et al., Occupational and Environmental Medicine (2025)

研究チームはこの現象を「過労による慢性的なストレスに対して脳が行う神経適応反応(neuroadaptive response)」ではないかと考えています。

つまり、脳が過剰な負荷に対応するために一部の神経回路や細胞の活動を一時的に高め能力を底上げしようとした結果、脳が肥大したのではないかというのです。

さらに研究者たちは、この状態が非常事態の“緊急対応モード”とみなされるべきだと指摘しています。

短期的には集中力や情動コントロール能力を高める助けになるかもしれませんが、長く続けば、神経細胞や代謝に過剰な負担がかかり、結果として疲れやすさ、物忘れ、気分の落ち込みなどの不調リスクが高まると考えられるのです。

一方で「これは一時的な適応か、それともやがて悪影響をもたらす前兆なのか」はまだわかっていません。

これまでの研究でも、ストレスや睡眠不足が脳の構造に影響を与えることは示唆されてきました。

ただし、脳の構造変化が良いことか悪いことかは、必ずしも単純に判断できません。

たとえば学習や練習でも灰白質(gray matter:神経細胞が集まる部分)が増えることは知られています。

しかし過労による変化は「負担の証拠」である可能性も否定できません。

この脳の肥大は、発達による成長というポジティブな現象ではなく、けがや炎症で腫れた筋肉のようなイメージに近い現象だとも解釈できるのです。

この研究は、「長時間働き続けることで脳が変化する可能性がある」という衝撃の事実を示しました。

ただ一方で、研究者たちはこの研究についていくつかの注意点を述べています。

まず、この研究は110人という比較的小規模なパイロット研究です。またこの結果について、研究者たちは予測を述べていますが、因果関係を明らかに出来ているわけではありません。

さらに被験者はすべて韓国の医療従事者であり、他の職種や国の人々にそのまま当てはまるとは限りません

そのため、研究チームは今後この研究が進み、より大規模かつ多職種・多国籍での追跡調査や因果関係の検証が必要だと述べています。

こうした知見を集めることは、職場の健康管理や労働時間のあり方を考えるために重要です。

睡眠やリフレッシュの時間を削ってまで長時間働き続けることが、思っている以上に自分の脳に負担をかけているかもしれません。

今後の研究が進めば、職場の労働時間や健康管理の新たな指標として活用される日が来るかもしれません。

参考文献

Long work hours linked with altered brain structure
https://www.scimex.org/newsfeed/long-work-hours-linked-with-altered-brain-structure

元論文

Overwork and changes in brain structure: a pilot study
https://doi.org/10.1136/oemed-2025-110057

ライター

相川 葵: 工学出身のライター。歴史やSF作品と絡めた科学の話が好き。イメージしやすい科学の解説をしていくことを目指す。

編集者

ナゾロジー 編集部

元記事で読む
の記事をもっとみる