1. トップ
  2. 恋愛
  3. マイナス5歳!【老け見えしがちなまぶた】がスッキリする美容医療とは?

マイナス5歳!【老け見えしがちなまぶた】がスッキリする美容医療とは?

  • 2025.1.10

目元を見れば年齢がわかると言われています。つまり、解消できたら老け感からも解放されます。加齢によるあらゆるサインは機能的にも問題多発!美容医療でできることをダウンタイム最低限の施術&ドクターから厳選しました。

大人の「老けまぶた」お悩み別美容医療は?

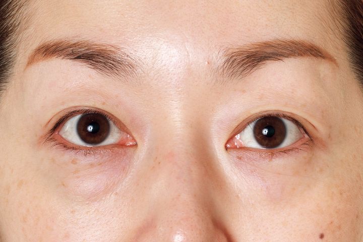
症例:下まぶただるみ→【目の下の脂肪取りでふくらみすっきり】

脂肪の突出により凸凹が生じます。メイクで隠そうとしても難しく、脂肪を取り去るか、もしくは凹みに何かを注入するか。今回は余分な脂肪を少量摘出し影をなくします。取りすぎて悪化する場合もあるので慎重に。

SNSで火がついた脱脂ブームですが、いまだにその流れは継続中。よく言えば身近になったわけですが、同時に脂肪を取りすぎたり、更にクマがひどくなったりとトラブルも多発中。ダウンタイムが少なく、ただ脂肪を取るだけの脱脂も、やはり形成外科専門医のオペをお勧めします。牧野先生はいつもの細やかな診断と施術で今回も慎重に。流れ作業的ではない安心感が牧野オペの醍醐味です。

私が試しました!

美STライター(47歳)

目の下のふくらみがあると疲れて見られるだけでなく、老け感も倍増で。初美容医療にドキドキですが、仕上がりを楽しみに頑張ります♪

まずは目を動かして表情チェックを

ダウンタイムはオペだから我慢するものではなく、一秒でも少なくなるような努力をしてくれるドクターを選ぶべき。それはオペの工夫であったり技術力であったり。クリニックが多すぎる昨今、しっかり自分の身を守るためにも最低限の条件を網羅したクリニックを選びましょう。脂肪も取りすぎないようにオペ中は何回も確認しながら進めます。安心安定の技術力で、読者からの問い合わせも絶えないため予約は早めがお勧めです。

ビフォー・アフター

BEFORE
AFTER

目の下のたるみがなくなるだけで−5歳。表情も明るく変化しメイクも楽に。また信頼できるドクターに出会えたことが何より一番。オペ中の細やかな声かけでリラックスできました。

こちらのクリニックで施術を受けられます!

聖心美容クリニック 銀座院

【住所】東京都中央区銀座1-9-13 プライム銀座柳通りビル9F 【電話番号】0120-977-116
眉下切開法¥385,000、脱脂(経結膜下脱脂法)¥330,000。経験値、センス、技術力の三位一体が牧野オペ。患者の負担を最小限にしようとする気持ちはカウンセリング時から一目瞭然。オペ中の気遣いからも仕上がりへの不安が軽減したと話す体験者も大勢。美容外科医は山ほどいますが本当に信頼できるドクターは少数なんだと納得させられる。予約は早めに。

聖心美容クリニック 銀座院 院長・牧野陽二郎先生

2025年『美ST』1月号掲載
撮影/清水ちえみ、中林 香 ヘア・メイク/Sai 取材/Dr.ウサコ、兵藤美香 再構成/Bravoworks,Inc.

元記事で読む
の記事をもっとみる