1. トップ
  2. スキンケア
  3. 【60代スキンケア】肌再生の要となるのは?複数の悩みを一斉ケア!「エリクシール ザ セラムaa/エリクシール」【最新美容液】

【60代スキンケア】肌再生の要となるのは?複数の悩みを一斉ケア!「エリクシール ザ セラムaa/エリクシール」【最新美容液】

  • 2024.11.24

人生100年時代とはいえ、ファッションしかり、美容しかり、素敵世代がターゲットであることを明確にアピールしているブランドが少ないのが現状。でも、ご安心あれ! 美容業界は確実に私たちに目を向けています。特に今秋は、60 代オーバーの弱った細胞に活力を与え、肌年齢を巻き戻す美容液が続々登場! 今回は資生堂の「エリクシール ザ セラムaa/エリクシール」をご紹介します。

【素敵世代の肌を輝かせるキーワード】肌再生の源「基底膜」、30年の集大成、全肌悩みにアプローチ

【資生堂】エリクシール史上最強美容液でハリも明るさもなめらかさも 次世代エイジングケア成分・コアキシマイドのほか、美白やハリアップなど21種の美容成分を配合。独自の成分リリース技術「倍速エッセンステクノロジー」を初搭載。乾燥や毛穴、ハリ、シミの元など複数の大人の肌悩みに一気にアプローチ。
エリクシール ザ セラムaa[医薬部外品]50㎖ ¥8,910/エリクシール

肌再生の要「基底膜」を修復して複数の悩みを一斉にケア

1980年代から、真皮の約70%を占めるコラーゲンを研究し続けてきた資生堂。業界内でもいち早く着目し、コラーゲンの種類や働きを解明。日々、研究を進化させ、さまざまな商品にその先進知見を搭載しています。 次なる課題は、大人が抱える複数の肌悩みに、一斉に、スピーディにアプローチすること。資生堂の研究員、入山俊介さんが説明します。 「着目したのは、美肌を生み出す司令塔で、肌再生の源である基底膜です。表皮と真皮の間にある基底膜は厚さ約0・1マイクロメートルのごく薄い膜で、表皮と真皮をつなぎ情報や物質のやりとりをサポートしています。紫外線や加齢により基底膜がダメージを受けるとシミ、シワ、たるみなどの老化が加速。紫外線を浴びて活性化する分解酵素が基底膜にダメージを与えることや、基底膜が表皮幹細胞の減少や維持に関連することも、資生堂が見出しています」。 新しい細胞を生み出すことが難しくなる素敵世代は、いまあるものを守ること=分解抑制が重要。それを叶えるのが、2万種以上の候補から発見された独自成分コアキシマイドです。 「基底膜の分解を抑えて修復することで表皮幹細胞が安定化し、表皮細胞の生まれ変わりが促されます。基底膜をケアすることで修復力が高まり、肌全体が美しくなるという、資生堂効率美容の集大成ともいえる成分です。

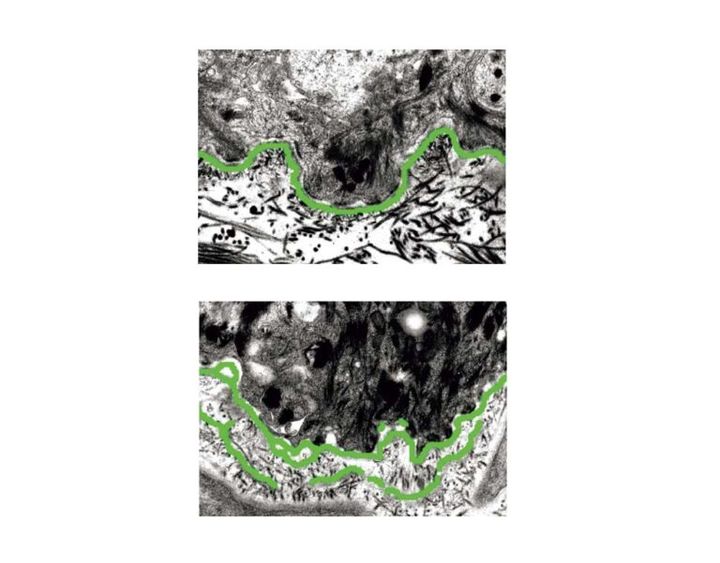
健康な基底膜とダメージを受けた基底膜の比較

上が【健康な基底膜】34歳女性 上腹部 非露光部、下が【ダメージを受けた基底膜 】30歳女性 頰 露出部

S.Amano,J Investig Dermatol Symp Proc,2009.14(1):2-7.

表皮と真皮の間にある肌再生の要・基底膜。紫外線や加齢によりダメージを受けると、切れた基底膜が下に追いやられて多重化し、シミやシワ、たるみに。

撮影/相沢千冬 文/片岡えり ※素敵なあの人2024年11月号「素敵寿命を延ばすために知っておきたい、最新エイジングケアのすべて」より
※掲載中の情報は誌面掲載時のものです。
※画像・文章の無断転載はご遠慮ください。

元記事で読む
次の記事
の記事をもっとみる